Article "特徴的な心エコー図所見が診断に有用であったレフレル心内膜心筋炎の症例" Detailed information of the J-GLOBAL is an information service managed by the Japan Science and Technology Agency (hereinafter referred to as "JST"). It provides free access to secondary information on researchers, articles, patents, etc., in science and technology, medicine and.. 好酸球増多性心内膜心筋炎. 一いわゆるL6ffler心内膜炎一の1男児例. (平成6年4月26日受付) (平成6年11月28日受理) 1}群馬県立小児医療センター循環器科,現 群馬大学医学部小児科 2)群馬県立小児医療センター循環器科,3)深谷赤十字病院小児科. 小林.

最新のPrimer:感染性心内膜炎 Nature Reviews Disease Primers Nature Portfolio

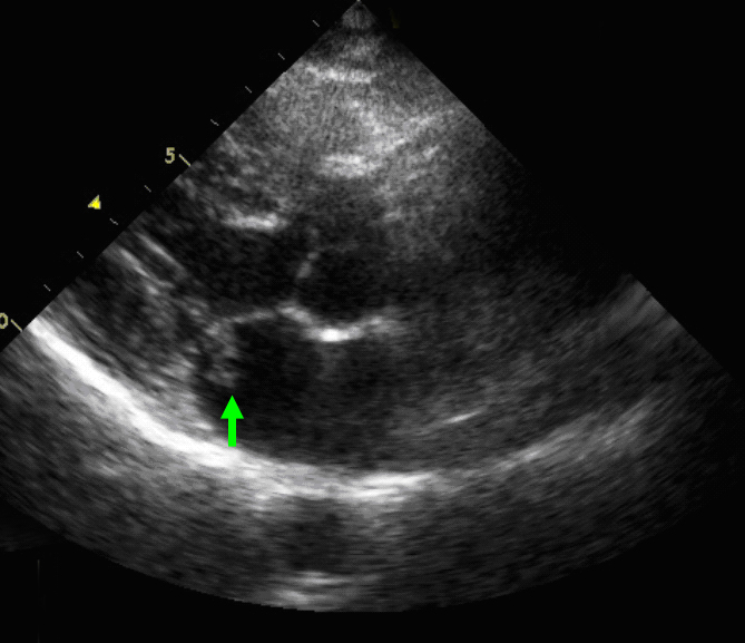
心エコー図検査にて長期間経過観察し得たレフレル心内膜炎の1例

Images of 心膜炎 JapaneseClass.jp

心不全病態を端的に把握するためには?HFrEFヘフレフ?HFpEFヘフペフって?左室EFによる分類 心不全勉強会 7 循環器専門医が解説! YouTube
![電子書籍版|心エコーハンドブック 心筋・心膜疾患[動画付き] M2PLUS 電子書籍版|心エコーハンドブック 心筋・心膜疾患[動画付き] M2PLUS](https://ebookstore.m2plus.com/img/9784765316224-iph-2-b.png)
電子書籍版|心エコーハンドブック 心筋・心膜疾患[動画付き] M2PLUS

感染性心内膜炎1例医联

おすすめの超濃厚卵殻膜美容液レルフィール【Relfeel】 サナエのコレがおすすめ 美容ブログ♡ 楽天ブログ

歯周病と細菌性心内膜炎 目黒の歯医者・歯科|目黒石本歯科クリニックー幅広い治療に対応し患者様一人一人に合った治療計画を提案し丁寧な治療を心掛けております。

感染性心内膜炎(カンセンセイシンナイマクエン)とは? 意味や使い方 コトバンク
![卵殻膜レルフィールデイリーレボリューションスキンケア(Relfeel)美容液|公式オンラインショップ[precious light store] 卵殻膜レルフィールデイリーレボリューションスキンケア(Relfeel)美容液|公式オンラインショップ[precious light store]](https://precious-light-store.jp/gold/relfeel/img/img_15-min.jpg)
卵殻膜レルフィールデイリーレボリューションスキンケア(Relfeel)美容液|公式オンラインショップ[precious light store]

松下 ER ランチ・カンファレンス LibmanSacks endocarditis リブマン・ザックス心内膜炎

感染 性 心 内 膜 炎 ガイドライン

感染性心内膜炎とは−症状や治療法は? メディカルノート
心内膜炎とは 知っておくと役に立つちょっとした医学

感染 性 心 内 膜 炎 ガイドライン

3.循環器 (6)感染性心内膜炎病理コア画像

脳膿瘍 ガイドライン

心内膜炎 Endocarditis JapaneseClass.jp

ひとことで言うと… 014|感染性心内膜炎 臨床ナース メディカLIBRARY

【解説】血液検査「Alb(アルブミン)」とは何か!?数値が高くても低くても問題あり!? ゆるふわ医書
感染性心内膜炎はこんな病気. 感染性心内膜炎とは、「溶血性連鎖球菌 (ようけつせいれんさきゅうきん)」や「ブドウ球菌」、「腸球菌 (ちょうきゅうきん)」、「真菌 (しんきん)」などの菌が、なんらかの原因で血液中に侵入し、心臓内部に感染巣が形成さ.. Article "レフレル心内膜炎および好酸球性心筋炎の発症予測と早期発見方法に関する検討" Detailed information of the J-GLOBAL is an information service managed by the Japan Science and Technology Agency (hereinafter referred to as "JST"). It provides free access to secondary information on researchers, articles, patents, etc., in science and technology, medicine.